علاج الجذور أو حشو العصب أو علاج العصب هي مسميات مختلفة لنفس العلاج, يتم خلالها تنظيف التسوس من الضروس ثم يتم تنظيف قنوات العصب الموجودة داخل جذور الضروس والأسنان, بعد التنظيف والتطهير يتم استخدام مواد لحشو الجذور للتأكد من سد جميع الفراغات ومنع دخول أو تكون البكتيريا.
من أهم أسباب عمل علاج الجذور هو وجود ألم ووجع شديد في الضروس والأسنان, أو ألم شديد بعدحشو الضرس, أو وجود خراج الضرس او ألم مع المشروبات الساخنة والباردة .وغالبا ما يتسبب الألم الشديد في الصداع وعدم القدرة على النوم بشكل طبيعي.
تختلف أسعار وتكلفة حشو العصب باختلاف الأسنان والضروس, وخصوصا عند إعادة علاج العصب. وتعتمد تكلفة حشو العصب على جودة الخدمة والخامات المستخدمة وخبرة الطبيب اذا ما كان أخصائي أو ممارس عام.
تحقيق الابتسامة المثالية أصبح أسهل مع تقنية الليزر المتطورة لعلاج الابتسامة اللثوية. باستخدام أحدث الأجهزة الطبية ومعايير السلامة العالمية، نقدم لك حلاً فعالاً وآمناً للتخلص من الابتسامة اللثوية المزعجة. يتيح العلاج بالليزر نتائج دقيقة وسريعة مع تقليل الألم والوقت المستغرق في التعافي. فريقنا الطبي المتخصص على أتم الاستعداد لتقديم استشارات شخصية وتوضيح جميع خطوات العلاج لضمان حصولك على ابتسامة طبيعية وجذابة."
التخدير الكلي يعتبر أحد الخيارات الهامة في طب الأسنان، خاصة للمرضى الذين يعانون من القلق الشديد أو الخوف من العلاج. إليك بعض الأسباب التي تجعل التخدير الكلي مفيدًا لهؤلاء المرضى:
التخلص من الخوف والقلق: يسمح التخدير الكلي للمريض بأن ينام خلال العملية، مما يقلل من التوتر والخوف من العلاج.
إتمام العلاجات المعقدة: يمكن للطبيب إجراء العديد من العلاجات في جلسة واحدة، وهو ما يكون أكثر راحة للمريض الذي يعاني من مشكلات عديدة.
راحة المريض: يساعد التخدير الكلي على تجنب الألم والانزعاج الذي قد يشعر به المريض خلال العمليات الجراحية.
ضمان الدقة: يتيح التخدير الكلي للطبيب العمل بدقة دون أن يتحرك المريض، مما يزيد من فعالية العلاج.
جراحات الوجه والفكين تهدف إلى تصحيح تشوهات الفم أو الفك، وتشمل علاج اضطرابات المفصل الفكي , وتصحيح تشوهات خلقية أو نتيجة إصابات. نستخدم تقنيات جراحية متقدمة لضمان أفضل النتائج وتحسين جودة حياتك.
الفينير هو واحد من أكثر الحلول التجميلية شهرة في تحسين مظهر الأسنان الأمامية. الفينير بيتكون من طبقات رقيقة من السيراميك اللي بتتلزق على سطح الأسنان الأمامية لتغيير شكلها، حجمها، أو لونها.
الإجراء ده بيتم بشكل دقيق جدًا، لأنه بيتطلب تحضير الأسنان بشكل بسيط قبل تركيب الفينير عليها. الفينير بيستخدم في حالات كتير زي الأسنان المتشققة، التصبغات اللي مش بتستجيب للتبييض العادي، أو الأسنان غير المتناسقة.
العيادة بتوفر فينير بجودة عالية وبتصميم مخصص لكل مريض علشان يحصل على ابتسامة طبيعية وجذابة. الفينير مش بس بيحسن مظهر الأسنان، لكنه كمان بيكون مقاوم للتصبغات وبيعيش لفترات طويلة جدًا مع العناية الصحيحة.
تقويم الأسنان هو عبارة عن إجراء يتم فيه تصحيح علاقة وتناسب الأسنان مع بعضها البعض، وتناسب الأسنان مع الفك، وتناسب الفك مع الفك الآخر، لتكون النتيجة النهائية هي مظهر رائع للأسنان الطبيعية متناسب ايضًا مع كل تفاصيل الوجه.
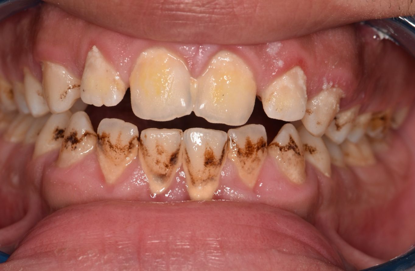
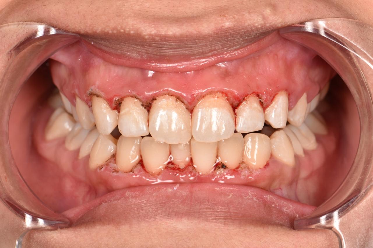
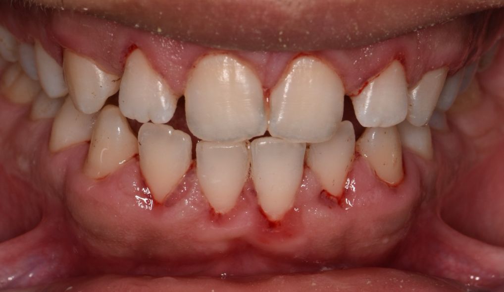
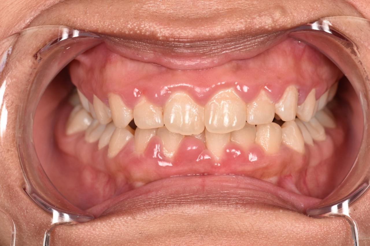
تنظيف الأسنان بشكل دوري يعتبر خطوة أساسية في الحفاظ على صحة الفم واللثة. خلال الجلسة، بنقوم بإزالة التراكمات الجيرية اللي ممكن تتسبب في التهابات أو تسوس الأسنان.
الجير اللي بيتكون نتيجة تراكم بقايا الأكل والبكتيريا في الأماكن اللي صعب الوصول ليها بفرشاة الأسنان بيكون خطر على صحة الفم. العيادة بتعتمد على تقنيات تنظيف متقدمة زي استخدام الموجات فوق الصوتية لإزالة الجير بلطف وبدون ألم.
جلسة التنظيف مش بس بتحسن شكل الأسنان، لكنها كمان بتمنع حدوث التهابات اللثة اللي ممكن تؤدي لفقدان الأسنان مع الوقت.
تبييض الأسنان هو الحل السريع للحصول على أسنان بيضاء وجميلة في جلسة واحدة, التبييض يتم باستخدام أحدث أجهزة الليزر ومواد التبييض التي تضمن الحفاظ على الأسنان بدون أي حساسية ونتيجة تستمر اطول فترة.
يعتبر تبييض الأسنان من أكثر إجراءات تجميل الأسنان شيوعًا وطلبًا في مصر، حيث يوفر مظهرًا أكثر بريقًا وجاذبية للابتسامة.
التركيبات السنية تعتبر واحدة من الحلول المثالية لتعويض الأسنان المفقودة أو التالفة بسبب تسوس أو إصابة. التركيبات بتتنوع ما بين الثابتة والمتحركة، حسب حالة الفم واحتياج المريض.
التركيبات الثابتة زي التيجان والجسور بتكون مثبتة على الأسنان المجاورة، وبتدي مظهر طبيعي وكأنها جزء من الأسنان الطبيعية، ودي غالبًا بتتكون من مواد زي السيراميك أو الزيركون اللي بتميزها بالقوة والمتانة.
التركيبات المتحركة خيار مثالي لتعويض الأسنان بشكل مؤقت أو دائم للأشخاص الذين لا يمكنهم الحصول على تركيبات ثابتة. باستخدام أحدث التقنيات، نضمن لك استعادة جمال ابتسامتك ووظيفة الأسنان المفقودة.
"العناية بصحة فم الأطفال هي خطوة حاسمة تبدأ من ظهور الأسنان الأولى. يشمل طب أسنان الأطفال الفحص الدوري للأسنان وتقييم نمو الفكين، مما يساهم في الوقاية من مشاكل مستقبلية. إن تسوس الأسنان هو أحد التحديات الشائعة بين الأطفال، ويعمل أطباء الأسنان على علاجه بفعالية لمنع انتشاره.
بالإضافة إلى ذلك، يتم تقديم إرشادات حول التغذية الصحية والعادات الفموية السليمة للأطفال والأهالي، مع التركيز على الحماية الوقائية مثل وضع الفلورايد وحشو الأسنان عند الحاجة. وفي بعض الحالات، قد يتطلب الأمر علاج تقويمي مبكر لتصحيح مسار نمو الأسنان والفكين.
ولجعل تجربة الأطفال في العيادة مريحة وودية، يستخدم أطباء أسنان الأطفال تقنيات خاصة للتعامل مع خوفهم وقلقهم، مما يساعدهم على التمتع بزيارة طبيب الأسنان بدون رهبة."
تتميز زراعة الأسنان بتوفير حلول دائمة لتعويض فقدان الأسنان، مما يعزز من جمال الابتسامة وكفاءة الوظائف الفموية مثل المضغ والتحدث. تُعَد هذه العملية الخيار الأمثل لمن يعانون من فقدان سن أو أكثر ويرغبون في استعادة الابتسامة الطبيعية بكل ثقة وراحة."

